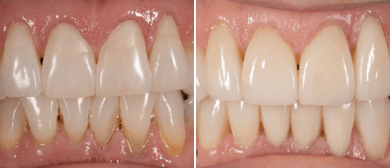
The use of porcelain veneers to disguise common dental imperfections
Porcelain veneers are commonly used to improve the appearance of teeth and a smile by covering stains, chips, gaps, and other imperfections. They can be used to whiten teeth, hide discoloration caused by medications such as tetracycline, fix minor bite issues, close gaps between teeth, and even change the shape and length of teeth. Veneers offer an ideal solution for those seeking an immediate improvement in their smile without resorting to more invasive treatments like braces or crowns. Dr. Kaveendra Ranasinghe works alongside Portland, Oregon, area patients to help them determine if these restorations would benefit their smile needs.
What are the benefits of porcelain veneers?
Veneers also provide strength and durability compared to traditional composite fillings or bonding. Porcelain is highly resistant to staining from coffee, tea, red wine, or cigarettes, making them an excellent option for people who want a bright and lasting smile. Porcelain veneers are also a perfect choice to address worn-down teeth, as they provide added strength and protection against further wear.
What is the process of obtaining porcelain veneers at Portland Dental?
The process of applying porcelain veneers is relatively simple and typically requires two visits to Portland Dental. On the first appointment, Dr. Ranasinghe will prepare the tooth by removing a small amount of enamel and then create an impression or mold of your teeth, which is sent off to a laboratory where your custom porcelain veneer will be made. On the second visit, the veneer is placed onto your tooth using dental cement and hardened with a special light. The entire procedure usually takes less than two hours.
Find out if you are a proper candidate for porcelain veneers or other cosmetic treatments!
The porcelain veneers placed by Dr. Kaveendra Ranasinghe can improve your smile in a single office visit, giving you the confidence to show off your beautiful smile! Contact our office today to learn more about how porcelain veneers can give you the perfect smile you’ve always dreamed of. Call 503-227-1693 today to request a visit at 511 SW 10th Avenue, Suite #1206.



