What are dental bridges, and how do they replace missing teeth?
Dental Bridges
A missing tooth can leave unsightly gaps in your smile unless you visit Portland Dental for a dental bridge. Our dentists use a bridge to not only restore the appearance of your smile, but also its function in helping you eat and speak. Schedule an appointment with Dr. Kaveen today if you want to learn more about receiving a dental bridge in Portland, Oregon.
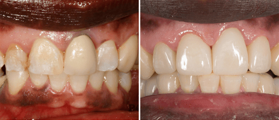
If you are missing a single tooth or multiple teeth in a row, we may recommend a dental bridge to restore your smile. A bridge is a fixed dental restoration, meaning it is nonremovable. The dental bridge is anchored in place through the use of two dental crowns, which are custom made to fit your smile and are placed on the teeth or dental implants next to the space left by the missing tooth. These crowns hold the artificial tooth in place to restore your smile, ensuring that your restoration will not easily shift or come loose. It typically requires only two visits to our practice to complete a dental bridge. Dental bridges are designed to last for many years and to restore the function, beauty and health of your smile.
Our dentists may recommend a dental bridge to improve your smile by:
- Restoring your ability to speak, eat and chew normally
- Alleviating excess stress on the bite
- Improving the shape and volume of your face
- Replacing an unwanted removable partial denture
- Preventing the remaining natural teeth from moving out of position
- Enhancing the appearance of your smile
We will help you determine whether a custom dental bridge is the right choice for restoring your smile after tooth loss. For more information, please call or visit us today.
Tooth loss brings about more than just missing teeth from the smile. It can also cause changes in the mouth, including bone loss, loss of volume in the cheeks, movement of neighboring teeth, and the inability to eat and speak efficiently. When teeth are lost or extracted, replacement needs to be considered as soon as possible. For some patients in Portland, Oregon, dental bridges may be a great solution!
How do dental bridges restore the smile?
Dental bridges are a popular and effective option for restoring a smile to replace missing teeth. A bridge is typically made of one or more false teeth, known as pontics, which are held in place by dental crowns secured to adjacent teeth. The pontic replaces the missing tooth, and the adjacent teeth act as anchors for the bridge.
What materials are used to make dental bridges?
Depending on your individual needs, a dental bridge can be made from materials such as porcelain, gold alloys, and even zirconia. However, Dr. Kaveendra Ranasinghe may recommend a porcelain or ceramic restoration as these look just like natural teeth, eliminating the appearance of an obvious dental repair.
Why should I consider a dental bridge?
Dental bridges not only restore the aesthetic appearance of your smile but also replace any function lost with a missing tooth. Bridges allow you to speak clearly and chew properly again, improving overall oral health and quality of life. Additionally, bridges help prevent other teeth from shifting out of place, which is why placement of tooth restoration is highly recommended as soon as possible after the extraction or loss of teeth. For patients who do not want a removable partial denture, a fixed bridge provides an affordable alternative to expensive dental implants.

